生成分享海报

半月板损伤是最常见的膝关节损伤之一
导致膝关节疼痛、弹响、交锁等症状
严重影响患者的日常生活和运动功能

不仅仅是运动员
普通大众及运动爱好者也常受其困扰
那么,究竟什么是半月板?
又为什么会损伤?
如何医治,又如何预防?
我们一起来详细聊聊
什么是半月板?
半月板是膝关节股骨和胫骨之间的纤维软骨,是膝关节里面的两个衬垫(内外侧各一个)。因为是半月形的,所以叫半月板。它周围部分较厚,中央部分较薄。内侧半月板呈“C”形,和内侧副韧带联系紧密,活动度较小;外侧半月板呈“O”形,和外侧副韧带没有直接相连,活动度较大。


半月板示意图
在解剖形态上,每个半月板可以分为3部分:后角、体部和前角(最常见的损伤部位在后角)。

半月板分区
由于半月板中央没有血管,周边部分接受附近的膝动脉内、外、中间支的毛细血管营养。根据血供特点,进行分区:
I区,红-红区
膝关节半月板边缘(滑膜缘)1~3mm的范围,是近滑膜缘血供丰富区,称为半月板血运区,具有完全愈合的潜力。
II区,红-白区
Ⅰ区内侧3~5mm的范围,代表着血管分布可以到达范围的边缘,由Ⅰ区毛细血管的终末支供应血液,有愈合潜力。
III区,白-白区
半月板的内侧部分,约占半月板的3/4区域,为半月板非血运区,营养完全由滑液供应,半月板损伤后愈合能力差。

半月板血供示意图
半月板有啥作用?
半月板是位于大腿骨(股骨)和小腿骨(胫骨)之间带弹性的纤维软骨垫,帮助分散并减少运动时产生的冲击力。
主要功能为减震缓冲,填充关节隙,使膝关节更易于活动,维持关节稳定,防止股骨髁前滑,防止过度屈伸,调节关节内压力和分布滑液。具有稳定、缓冲、营养关节等作用。


半月板的“减震缓冲”作用
半月板损伤的常见因素
导致半月板受伤的3个常见因素:
膝关节过度旋转
在各种可能导致半月板损伤的因素中,“膝关节过度旋转”最为常见,多发于篮球、足球、滑雪等需要膝关节大幅度扭转的运动中。
过度负重
在进行举重、深蹲等需要大量屈膝的运动时,建议膝盖不要超过脚尖,避免膝关节过度负重。当感到膝关节不适时,建议立刻暂停训练。
跑姿不正确
我们常听说“跑步伤膝”,其实跑步本身不伤膝盖,但如果跑姿不当则可能导致膝盖损伤。
半月板损伤分类
半月板损伤分为创伤性和退变性两种。
创伤性半月板损伤
多为运动损伤所致,主要是间接暴力引起。根据其受伤机制,撕裂口的直行方向,分为水平撕裂、横行撕裂、纵行撕裂、桶柄状撕裂和斜行撕裂等。

A水平撕裂、B横行撕裂、C纵行撕裂、D桶柄状撕裂、E斜行撕裂
退变性半月板损伤
常继发于半月板退变、关节不稳、半月板长期磨损及退行性骨关节病。
半月板损伤有什么症状?
一般来说,半月板损伤都会有膝盖外伤史,出现明显疼痛、肿胀和积液,关节屈伸活动障碍等症状。
急性期过后,肿胀和积液可自行消退,但活动时关节仍有疼痛,活动时有弹响。有时在活动时,突然听到膝盖“咔嗒”一声,膝盖突然卡住不能伸直,忍痛挥动小腿或休息后,关节又可以伸直, 即关节交锁。
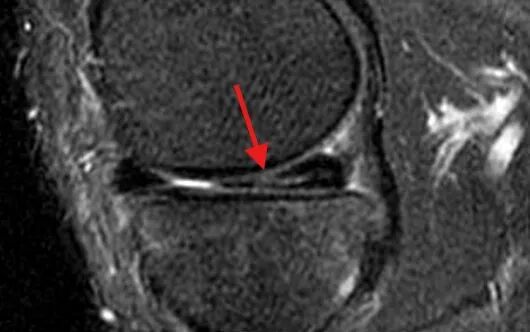
半月板损伤做什么检查?
对于怀疑半月板损伤患者,应进行膝关节核磁共振(MRI)检查,该检查无创、分辨率高,对半月板损伤有很高的敏感性和特异性。根据半月板损伤的MRI表现,可以分成3级:
0 级
为正常的半月板,呈均匀的低信号,半月板形态规则。
I 级
表现为不与关节面相接触的灶性椭圆形或球形高信号。

II 级
表现为水平、线性半月板内高信号,可延伸至半月板的关节囊缘,但未达到半月板的关节面。

III 级
半月板内高信号达到上或下关节面。

I级、II级损伤通常为退变信号,不需要医学干预。III级损伤显示高信号贯通到半月板表面了,等同撕裂,一般伴随症状,需要医学干预。
半月板损伤治疗方法
由于半月板本身内部无血液,只在周围有血液循环,所以,半月板损伤仅边缘撕裂经过长时间休养有可能会愈合。保守治疗仅适用于:无症状的稳定性半月板损伤、小于50%垂直厚度的不完全撕裂等。

关节镜微创手术
目前大多数的半月板损伤需要进行手术治疗,目前多采用关节镜微创手术,进行半月板缝合,避免后期不必要的半月板切除以及减少半月板损伤后的继发病损,具有手术创伤小,恢复快等优点。




关节镜下半月板缝合术
半月板损伤预防
半月板损伤通常是运动中意外造成的,虽然很难完全避免,但一些预防措施会降低损伤的风险:
1、适当的热身和伸展运动。在进行任何剧烈运动之前,应该进行适当的热身运动,以增加关节的灵活性和血液循环。在运动结束后,进行适当的伸展运动,有助于缓解肌肉紧张和保持关节的灵活性。
2、正确的运动姿势和技巧。在进行体育活动或锻炼时,应该注意正确的姿势和技巧,避免过度扭转或承受过大的压力。
3、合理安排运动量,身体过于疲劳会增加受伤的风险。
4、运动时穿着合适鞋子,提供足够的支撑和缓冲,减少关节受力。对于一些高风险的运动,需穿戴护具,提供额外的保护。
5、坚持锻炼,如直腿抬高、靠墙静蹲练习,以增强大腿肌肉力量。
6、不要突然增加锻炼强度和难度,应循序渐进。
7、不要带伤上阵,否则容易伤上加伤,也容易损伤半月板。
作者:王庆
作品来源:广州医科大学附属第二医院
版权声明:转载请注明来源,未经许可不得对作品进行二次创作。
微信公众号
微信视频号
新浪微博