近日
东莞市滨海湾中心医院
收治了一名年轻的肝癌晚期患者
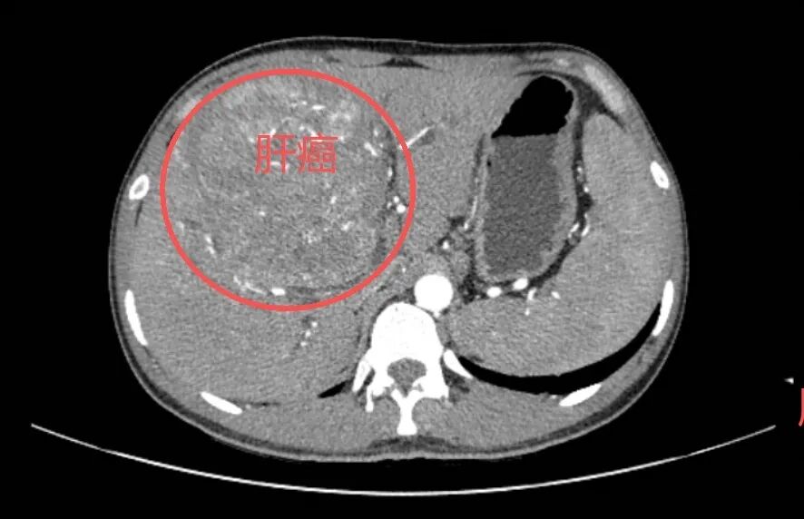
25岁小王(化名)的CT检查报告上
“肝脏巨大肿瘤”等字样
让人揪心不已
10年前 还是初中生的小王 在体检中查出“乙肝表面抗原阳性” 他觉得自己年轻没当回事 从未规律复查 也没主动咨询过专科医生 直到近期 持续的乏力、腹胀缠上了他 检查报告上的“肝癌晚期” 如晴天霹雳 …… 小王的情况并非个例。据统计,2024一2025年,东莞市滨海湾中心医院院感染科已筛查出8例40岁以下的乙肝相关晚期肝癌患者,其中2例还未满30岁。这些患者的经历并非偶然,背后藏着大众对乙肝认知的普遍漏洞,最终将 “可防可控” 的慢性疾病拖成晚期癌症。 病毒性肝炎是全球重大公共卫生问题之一。在我国,乙型病毒性肝炎(简称“乙肝”)因高感染率、慢性化风险及严重并发症,成为威胁全民健康的重要挑战,其病毒主要通过血液、母婴和性接触传播。 认为“乙肝病毒携带者是‘健康携带者’不需要治疗”的观念已经过时了,2022版《慢性乙型肝炎防治指南》早已用“慢性乙肝病毒携带状态”,取代了“健康携带者”这个说法。 乙肝病毒感染,更像是一种需要终身管理的慢性健康状况,并非不可控的“洪水猛兽”,别再轻信“健康携带者”的旧说法,也别再用“年轻”“没症状”,当借口忽视它。





误区一:乙肝可通过日常接触传染
真相:共餐、握手、拥抱等无血液暴露的日常接触不会传播,感染风险主要来自非正规文身、共用剃须刀或牙刷等血液暴露行为。

图片由AI生成
误区二:乙肝携带者无症状就无需管理
真相:“无症状”不代表“无风险”,长期病毒感染可能导致肝纤维化、肝硬化,部分携带者需遵医嘱治疗,且需每6~12个月定期复查。
误区三:乙肝患者一定会得肝癌
真相:规范抗病毒治疗可使5年肝癌发生率降低60%以上,早发现、早治疗并坚持定期随访是降低肝癌风险的关键。
● 接种疫苗是重要手段,新生儿应在出生24小时内接种首剂乙肝疫苗,全程3针接种后保护率达95%以上,成人高危人群(乙肝患者家属、免疫功能低下者、医务工作者等)若抗体阴性需及时接种或补种; ● 定期检测不可或缺,普通人群每1~2年检测一次乙肝“两对半”,高危人群每6~12个月检测乙肝“两对半”并结合肝功能、肝脏超声评估,乙肝感染者需定期复查HBV-DNA、甲胎蛋白、肝脏弹性检测等; ● 规范治疗是核心,慢性乙肝患者需长期遵医嘱抗病毒治疗,不可擅自停药或换药,治疗期间应避免饮酒、吸烟,保持规律作息与清淡饮食; ● 给予乙肝患者及感染者更多理解与包容,营造无歧视的社会环境,避免其因隐瞒病情而延误治疗。


作品来源:健康广东
版权声明:转载请注明来源,未经许可不得对作品进行二次创作
收藏
0