这天,5岁的乐乐(化名)牵着妈妈兴冲冲地跑向玩具店。乐乐身后传来妈妈的叮嘱声:“慢点儿,小心摔着!”牵着乐乐的手轻轻一拽。一瞬间,乐乐的右手传来轻微的“咔嚓”声,小脸皱成一团,眼泪涌出:“妈妈,疼……”
起初,妈妈以为乐乐在撒娇,可孩子的右手不愿抬起,连平时最爱吃的零食也不愿意接,这才察觉不对。家长担心是骨折,焦急地带着他来到广州医科大学附属第二医院(简称:广医二院)创伤骨科就诊,最终确诊为俗称“牵拉肘”的桡骨小头半脱位。

示意图
出门在外,家长总习惯牵着孩子的小手;天冷时,为他们套上一层层厚衣服,不忘拽拽袖子……这些再日常不过的动作,却可能无意间让孩子的胳膊受伤,变成“牵拉肘”。家长们无需自责,更不必慌神,这是2-5岁儿童的高发损伤。
广医二院创伤骨科主任医师胡海澜指出,“能识别、懂原理、会预防”是诊治该疾病的关键!在医院创伤骨科,无需打针吃药,通过专业的手法复位,几秒就能解决这个“拉”出来的小麻烦。
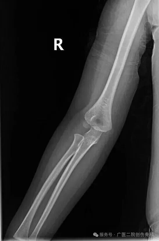
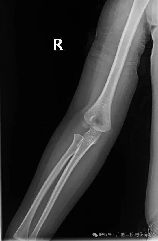
乐乐妈妈带娃来院后,胡海澜通过X光片排除骨折和脱位,结合明确的牵拉史和症状确诊为桡骨小头半脱位。


患儿X光片:肘部未见骨折及脱位征象
随后,胡海澜采用“旋后屈肘复位法”:一手固定患儿的肘部,拇指轻轻按压桡骨小头外侧,另一手拉住手腕,缓慢将手心转向上方(旋后),同时轻柔弯曲肘关节至 90 度。全程仅用3秒,伴随一声轻微的 “啪咔” 声,复位完成,乐乐的右手立马可以主动抬起,并能够正常活动肘关节。
为何娃的胳膊一拉就“罢工”?
专家:骨骼仍处于发育期
胡海澜解释,成人的关节韧带发育完全,像“拉紧的橡皮筋”能牢牢固定骨头。但2-5岁孩子的骨骼还处于发育期,桡骨小头(肘关节处的小骨头)周围的环状韧带,就像“没系紧的安全带”,质地松软、弹性不足,还没能力牢牢锁住骨骼。当胳膊被突然用力牵拉时,这根“松安全带”会被瞬间拽开,导致桡骨小头轻微移位,压迫周围组织,此时孩子会感到剧烈疼痛。这种移位是韧带嵌顿,不是真正的骨折或脱位,所以X光片拍不出来异常,容易让家长误以为“孩子撒娇”。

桡骨头半脱位病理
胡海澜提示,如果遇到孩子胳膊不敢动、哭闹不止,家长可以通过以下3点初步判断是否为桡骨头半脱位:
有“牵拉诱因”:近期有拉胳膊、拽袖子、抱娃只提胳膊等动作;
姿势异常:受伤的胳膊自然下垂、肘部微屈,不愿主动抬起,也不抓握东西,强行掰动会剧烈哭;
外观正常:胳膊没有红肿、淤青、变形,和正常肢体看起来没区别(这是和骨折、脱位的核心区别)。
胡海澜指出,一旦符合以上情况,千万别揉、别掰、别强行抬孩子的胳膊。盲目操作可能加重韧带损伤,应立即带孩子去医院创伤骨科或急诊。
孩子确诊桡骨小头半脱位,通过专业医生的手法复位就能痊愈:
复位要“精准发力”:需要准确找到桡骨小头位置,控制好角度和力度,才能安全复位;
复位后护理:24—48小时内避免牵拉受伤的胳膊,穿衣服、抱娃动作轻柔,让韧带好好修复,降低复发风险(有过脱位史的娃,复发概率会略高)。
胡海澜特别提醒,家长绝对不能自己在家动手!非专业医生操作有风险,盲目掰动可能导致孩子的韧带撕裂、关节损伤,甚至延误治疗。
桡骨小头半脱位可以预防,家长做好这几点即可:
牵娃牵“上臂”:走路、上下楼梯时,扶着娃的大胳膊(上臂),避免拽手腕或前臂;
抱娃托“腰臀”:避免只抓着胳膊把娃拎起来,托住臀部或腰部更安全;
穿脱衣服“慢一点”:紧身衣、窄袖子先撑开袖口,再轻轻套娃的手,避免硬拽;
5岁前多留意:5岁后孩子的环状韧带会逐渐发育成熟,风险会大幅降低,在此之前多注意避免突然牵拉。

桡骨小头半脱位虽然突发,但处理起来快速简单,关键是及时识别、及时就医。如果孩子出现类似情况,可携带X光片(如有)及时前往医院创伤骨科就诊。
遇到情况不慌不乱
科学处理更安心
作品来源:
版权声明:转载请注明来源,未经许可不得对作品进行二次创作
收藏
0